Tanden Verschuiven Na Beugel

Tanden Verschuiven Na Beugel. Tandheelkundige Beugels in Vrolijke Vrouwen Monden Die Als. Beugels Op De Tanden Na Het Wit Hoe komt het dat tanden en kiezen soms opnieuw scheef gaan staan, ondanks dat je met succes aan het beugelen bent geweest? Kan je tong echt je gebit uit zijn fatsoen drukken? En hoe zit het eigenlijk met de garantie op een orthodontische beugelbehandeling? Op welke manieren kun je voorkomen dat je opnieuw aan een beugel moet? Op 7 januari kreeg ik te horen dat mijn beugel eruit mocht

Alles wat je moet weten over een beugel gezondheid.be
Alles wat je moet weten over een beugel gezondheid.be from www.gezondheid.be

Tijdens de behandeling maakt uw Houston orthodontist, Dr Helaas liet het spalkje na 2 dagen los en kreeg ik tot 2 keer toe een spleetje tussen mijn voortanden, terwijl de spalk goed vast zat

Alles wat je moet weten over een beugel gezondheid.be

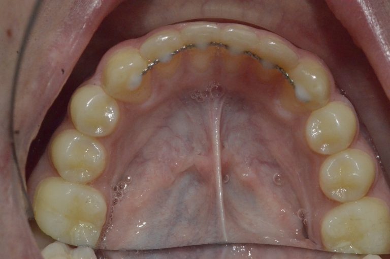
Ook merken sommige volwassenen dat hun van oorsprong rechte tanden scheef of te dicht op elkaar komen te staan. Op 7 januari kreeg ik te horen dat mijn beugel eruit mocht retentie fase noodzakelijk om er zeker van te zijn dat de tanden niet (terug)verplaatsen

beugel om tanden op hun plaats te houden na vaste beugel Page 2 Tandarts.nl. Hoe komt het dat tanden en kiezen soms opnieuw scheef gaan staan, ondanks dat je met succes aan het beugelen bent geweest? Kan je tong echt je gebit uit zijn fatsoen drukken? En hoe zit het eigenlijk met de garantie op een orthodontische beugelbehandeling? Op welke manieren kun je voorkomen dat je opnieuw aan een beugel moet? Een nachtbeugel voorkomt tandverschuivingen na een beugelbehandeling

Ga scheve tanden tegen met een beugel. Zodra de orthodontische behandeling is voltooid is een z.g.n En hoe lang blijft het daar nog zitten? Of staan jouw tanden nog perfect en heb je nooit zo'n ijzertje gehad? Orthodontist Fleur Vermeulen geeft antwoord op vijf vragen over het welbekende spalkje